
ワイヤー矯正は、歯の表面にブラケット(小さな装置)を接着し、そこにワイヤーを通して歯を少しずつ理想の位置へ導くスタンダードな矯正方法です。
幅広い症例に対応できるのが大きな特長で、噛み合わせを含めたお口全体の改善にも適しています。
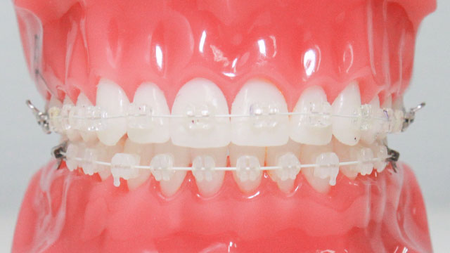
当院ではホワイトワイヤーにも対応。見た目に配慮しながら、丁寧な調整で進めていきます。
※院内には矯正歯科学会認定医が在籍しています(担当医は診療体制により異なります)。

ワイヤー矯正での歯の動き方について説明します。
ワイヤーには「元に戻ろうとする弾性」があり、その性質を利用して適切な強さの力を継続的にかけることで歯を移動させます。
力が強すぎれば良いわけではなく、歯や歯ぐきに配慮した適正な力で調整していくことが、結果的に効率的で安全な治療につながります。
※強い力=早いではありません。歯の状態を確認しながら段階的に調整していきます。
金属色が気になる方にはホワイトワイヤーがおすすめです。
至近距離では分かるものの、少し離れると気づかれにくい見た目になります。
※症例や治療段階により金属ワイヤーを併用することがあります。
金属アレルギーがご心配な方は、事前にご相談ください。お口の状態に合わせて、使用する素材や装置をご提案します。
※アレルギーの種類により使用できるワイヤーが限られる場合があります。



※裏側矯正(舌側矯正)をご希望の方は専用ページをご覧ください。

調整直後は締め付け感が出やすいですが、多くは数日で落ち着きます。痛みが強い場合は市販の鎮痛薬でコントロール可能です。
装置が頬や唇に当たる場合は歯科用ワックスで保護すると楽になります。
装着初期は柔らかめのものを中心に。硬い食材は小さく切る、粘着性の高い食品は慎重にが基本です。1〜2週間ほどで多くの方が普段通りに。
装置周りは汚れが残りやすいため、タフトブラシ・フロス等の補助清掃具の併用がおすすめ。

歯を並べるスペースが大きく不足している場合など、抜歯を併用する方が良い結果につながることがあります。一方で、軽度の叢生であれば非抜歯で整えられることも。
精密検査でスペースの評価・横顔のバランス・歯ぐきの健康などを総合的に判断し、メリット・デメリットを丁寧にご説明します。
お悩みやご希望を伺い、治療方法・期間の目安・概算費用をご案内します。仕上がりイメージの共有を大切にしています。

口腔内写真・X線撮影・型取りまたはスキャン等を行い、噛み合わせや骨格を詳しく確認します。

検査結果をもとに、ワイヤーの種類、抜歯/非抜歯の方針、期間・通院頻度などをわかりやすくご説明。ご同意の上で開始します。

ブラケットとワイヤーを装着。適切な力で段階的に調整していきます。痛みが強く出ないよう配慮します。

おおよそ4〜8週に1回の通院でワイヤーの交換・微調整・清掃指導を行います。進み具合により間隔は前後します。

装置を外した後は、歯の後戻りを防ぐため、一定期間リテーナーを装着します。安定した噛み合わせの維持をサポートします。
A. ホワイトワイヤーはメタルワイヤーに比べて歯の色になじみ、至近距離でなければ気づかれにくい見た目です。写真撮影やお仕事の都合で審美性を重視したい方に好評です。
A. 調整直後は締め付け感が出やすいものの、多くは数日で落ち着きます。強い力が必ずしも早さにつながるわけではなく、歯や歯ぐきに配慮した適正な力で進めることが重要です。
A. 通院は4〜8週に1回が目安です。治療期間は全体矯正でおおよそ1.5〜2.5年程度(個人差あり)。検査後により具体的な見通しをご案内します。
A. 初期は硬いもの・粘着性の高いものが食べにくく感じます。小さく切る、よく噛む、装置に挟まりにくいメニューを選ぶなどで快適になります。1〜2週間で慣れる方がほとんどです。
A. アレルギーの種類により使える素材が変わります。問診と必要に応じた確認のうえ、ブラケットやワイヤーの選択を検討します。まずはご相談ください。